Skip to content

Connect with Us:

Twitter page opens in new windowFacebook page opens in new window
TalkPath News
News delivered for You
TalkPath NewsTalkPath News
  • National
  • World
  • Business
  • Education
  • Entertainment
  • Health & Lifestyle
  • Science & Tech
  • History
  • Sign In
  • National
  • World
  • Business
  • Education
  • Entertainment
  • Health & Lifestyle
  • Science & Tech
  • History
  • Sign In

Category Archives: Health & Lifestyle

Americans Drinking More Now Than Just Before Prohibition

Health & Lifestyle, One-Minute NewsBy Kari De LeonJanuary 17, 2020

Mugs of beer

New Diet Trend in America: Intermittent Fasting

Health & Lifestyle, One-Minute NewsBy Kari De LeonJanuary 14, 2020

CrossFit athletic trainer

Edible Cannabis Use May Carry Unexpected Risks

Health & Lifestyle, One-Minute NewsBy Kari De LeonJanuary 13, 2020

High Chew edibles

Drug Developers Take Aim at ‘Guided-Missile’ Cancer Drugs

Health & Lifestyle, One-Minute NewsBy Kari De LeonJanuary 13, 2020

GlaxoSmithKline research center

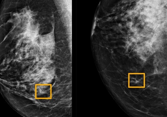
Google AI System Could Improve Breast Cancer Detection

Health & Lifestyle, One-Minute NewsBy Kari De LeonJanuary 7, 2020

An artificial intelligence system found cancer

Half of Americans Will Be Obese by 2030

Health & Lifestyle, One-Minute NewsBy Kari De LeonJanuary 6, 2020

An overweight man

More Americans Dying at Home than in Hospitals

Health & Lifestyle, One-Minute NewsBy Kari De LeonDecember 23, 2019

Veterans Affairs Boston Healthcare System

Asthma Attacks in Pregnancy Tied to Health Problems

Health & Lifestyle, One-Minute NewsBy Kari De LeonDecember 19, 2019

A pregnant woman

Obesity and Brain Development: Is There a Link?

Health & Lifestyle, One-Minute NewsBy Kari De LeonDecember 17, 2019

Being overweight or obese might affect brain development in children

Take Care of Your Teeth, Take Care of Your Heart

Health & Lifestyle, One-Minute NewsBy Kari De LeonDecember 10, 2019

Take Care of Your Teeth

1
23456789101112131415161718192021222324252627
…2829303132…
33343536373839404142434445464748495051525354555657585960616263
64
Copyright 2023 Lingraphica
Go to Top